Jako Ksawery Michalski, od lat obserwuję, jak wiele osób z wadą wzroku boryka się z dylematem: jak bezpiecznie cieszyć się aktywnościami wodnymi, nie rezygnując z dobrego widzenia? Pływanie w soczewkach kontaktowych wydaje się prostym rozwiązaniem, ale niestety, niesie ze sobą poważne ryzyko dla zdrowia oczu. W tym artykule wyjaśnię, dlaczego eksperci jednoznacznie odradzają takie praktyki i jakie bezpieczne alternatywy są dostępne, abyś mógł bez obaw korzystać z basenu, jeziora czy morza.
Pływanie w soczewkach kontaktowych jest niewskazane poznaj ryzyka i bezpieczne alternatywy dla zdrowia Twoich oczu.
- Polscy i amerykańscy eksperci, w tym FDA, jednoznacznie odradzają pływanie w soczewkach kontaktowych w jakiejkolwiek wodzie.
- Głównym zagrożeniem są poważne infekcje, w tym akantamebowe zapalenie rogówki, które może prowadzić do trwałego uszkodzenia wzroku.
- Miękkie soczewki działają jak gąbka, chłonąc wodę wraz z patogenami; twarde łatwo zgubić.
- Ryzyko infekcji występuje we wszystkich akwenach basenie, morzu i jeziorze, przy czym naturalne zbiorniki są najbardziej niebezpieczne.
- W ostateczności, jeśli musisz pływać w soczewkach, użyj jednodniowych i natychmiast je wyrzuć po wyjściu z wody, zawsze w połączeniu ze szczelnymi okularami pływackimi.
- Najbezpieczniejszą alternatywą są okulary pływackie z korekcją wady wzroku.

Dlaczego kontakt soczewek z wodą jest ryzykowny dla Twoich oczu?
Zacznijmy od jasnej odpowiedzi na pytanie, które nurtuje wielu: czy można pływać w soczewkach kontaktowych? Moje stanowisko, zgodne z oficjalnymi zaleceniami polskich okulistów, optometrystów oraz organizacji takich jak amerykańska FDA, jest jednoznaczne: pływanie i jakikolwiek kontakt soczewek kontaktowych z wodą jest kategorycznie odradzany. Dotyczy to zarówno wody basenowej, morskiej, z jeziora, a nawet z kranu.
Kluczowe jest zrozumienie, jak soczewki kontaktowe reagują na wodę. Miękkie soczewki, które są najpopularniejsze, zachowują się jak miniaturowe gąbki. Kiedy wchodzą w kontakt z wodą, chłoną ją wraz z zawartymi w niej chemikaliami i, co najważniejsze, drobnoustrojami. To sprawia, że patogeny mają idealne środowisko do namnażania się i przylegania do powierzchni oka. W przypadku twardych soczewek ryzyko infekcji jest nieco mniejsze ze względu na ich nieporowatą strukturę, ale za to znacznie łatwiej je zgubić w wodzie, co jest frustrujące i kosztowne.
Oficjalne zalecenia ekspertów nie są bezpodstawne. Opierają się na gruntownych badaniach i obserwacjach klinicznych, które jasno wskazują na znacznie zwiększone ryzyko poważnych infekcji oka u osób pływających w soczewkach. Specjaliści podkreślają, że zdrowie oczu jest bezcenne, a potencjalne konsekwencje takich infekcji mogą być bardzo poważne, a nawet prowadzić do trwałego uszkodzenia wzroku. Dlatego tak rygorystyczne podejście jest w pełni uzasadnione.
Niewidzialne zagrożenia w wodzie: Patogeny, które atakują Twoje oczy
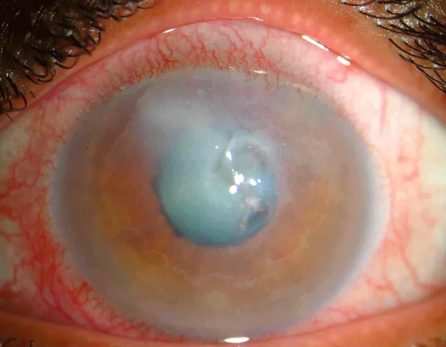
Najpoważniejszym zagrożeniem, o którym zawsze mówię moim pacjentom, jest akantamebowe zapalenie rogówki (Acanthamoeba keratitis). Jest to niezwykle groźna infekcja wywoływana przez pełzaka Acanthamoeba, który jest powszechnie obecny we wszystkich rodzajach wody od kranu, przez baseny, po jeziora i morza. Kiedy pierwotniak dostanie się pod soczewkę kontaktową, może zacząć niszczyć rogówkę, prowadząc do niezwykle bolesnego, trudnego w leczeniu i często nawracającego zapalenia. Niestety, w Polsce również diagnozuje się przypadki tego schorzenia, a jego skutki mogą obejmować trwałe blizny na rogówce, a w najgorszym scenariuszu, nawet konieczność przeszczepu rogówki lub trwałą utratę wzroku. To nie jest coś, co można lekceważyć.
Poza Acanthamoeba, w wodzie czają się inne groźne drobnoustroje, które również mogą wywołać poważne infekcje oka. Przykładem jest pałeczka ropy błękitnej (Pseudomonas aeruginosa), bakteria znana z tego, że szybko namnaża się w wilgotnym środowisku i może prowadzić do bardzo agresywnych infekcji rogówki, które postępują błyskawicznie. Innym zagrożeniem jest gronkowiec złocisty (Staphylococcus aureus), który również może wywołać bolesne zapalenia. Te patogeny, podobnie jak Acanthamoeba, mogą być przenoszone przez wodę i z łatwością przylegać do soczewek kontaktowych, stwarzając idealne warunki do rozwoju infekcji.
W przypadku jakiegokolwiek kontaktu soczewek z wodą, należy być szczególnie czujnym na objawy infekcji. Natychmiastowa konsultacja z okulistą jest kluczowa, jeśli zauważysz którykolwiek z poniższych symptomów:
- Silny ból oka, który nie ustępuje
- Znaczne zaczerwienienie oka
- Światłowstręt
- Nadmierne łzawienie
- Uczucie ciała obcego w oku
- Pogorszenie lub zamglenie widzenia
Pamiętaj, że wczesna diagnoza i leczenie są kluczowe dla zachowania wzroku.

Woda wodzie nierówna: Ryzyko infekcji w basenie, morzu i jeziorze
Wielu moich pacjentów pyta, czy chlorowany basen jest bezpieczniejszy. Niestety, muszę ich rozczarować. Mimo że chlor jest używany do dezynfekcji wody w basenach, nie eliminuje on wszystkich patogenów, a w szczególności jest nieskuteczny wobec odpornych cyst Acanthamoeba. Co więcej, sam chlor może być problemem podrażnia oczy, wysusza je i może powodować, że soczewki stają się mniej komfortowe, a nawet mocniej przylegają do rogówki, ułatwiając drobnoustrojom penetrację. Z mojego doświadczenia wynika, że nawet krótkotrwały kontakt z chlorowaną wodą w soczewkach może prowadzić do dyskomfortu i zwiększonego ryzyka.
Pływanie w morzu w soczewkach kontaktowych również wiąże się ze specyficznymi zagrożeniami. Słona woda, choć początkowo może wydawać się mniej ryzykowna niż woda słodka, może powodować silne podrażnienia i wysuszenie oczu. Co więcej, drobinki piasku, mułu czy innych zanieczyszczeń, które są naturalnie obecne w wodzie morskiej, mogą łatwo dostać się pod soczewkę. To z kolei prowadzi do mikrourazów rogówki, które stanowią otwarte wrota dla bakterii i innych patogenów, zwiększając ryzyko infekcji.
Jeśli chodzi o naturalne zbiorniki wodne, takie jak jeziora, rzeki czy stawy, są one bezwzględnie uznawane za najbardziej ryzykowne dla osób noszących soczewki kontaktowe. Woda w tych miejscach charakteryzuje się największym stężeniem bakterii, pierwotniaków, grzybów i różnego rodzaju zanieczyszczeń. Brak kontroli nad jakością wody sprawia, że ryzyko kontaktu z groźnymi patogenami, w tym Acanthamoeba, jest znacznie wyższe niż w basenie czy morzu. Zdecydowanie odradzam pływanie w soczewkach w takich akwenach.
Typ soczewek a pływanie: Które są bardziej ryzykowne?
Różnice między soczewkami miękkimi a twardymi mają znaczenie w kontekście pływania. Jak już wspomniałem, miękkie soczewki kontaktowe działają jak gąbka. Ich hydrofilowa struktura sprawia, że chłoną wodę wraz ze wszystkimi zanieczyszczeniami i drobnoustrojami, które się w niej znajdują. To tworzy idealne warunki dla rozwoju infekcji. Z kolei twarde soczewki, choć nie chłoną wody, są znacznie mniejsze i łatwiej je wypłukać z oka przez silniejszy prąd wody lub nawet przypadkowe przetarcie. Zgubienie twardej soczewki w wodzie to nie tylko strata finansowa, ale i nagłe pogorszenie widzenia, co może być niebezpieczne, zwłaszcza w głębszych akwenach.Warto również rozróżnić ryzyko związane z soczewkami jednodniowymi a tymi wielokrotnego użytku (miesięcznymi, dwutygodniowymi). Jeśli już musisz, w absolutnej ostateczności, pływać w soczewkach, to soczewki jednodniowe są "mniejszym złem". Dlaczego? Ponieważ po wyjściu z wody można je natychmiast wyrzucić, eliminując ryzyko przeniesienia zanieczyszczeń i patogenów do roztworu do pielęgnacji i ponownego założenia. Natomiast stosowanie soczewek wielokrotnego użytku do pływania jest absolutnie odradzane. Patogeny, które dostaną się pod soczewkę, mogą przetrwać w pojemniku i na soczewce, prowadząc do infekcji nawet po kilku dniach od kontaktu z wodą, mimo standardowej pielęgnacji. Mówiąc wprost: nie ryzykuj zdrowia swoich oczu dla oszczędności kilku złotych.
Ostateczność: Jak minimalizować ryzyko, gdy musisz pływać w soczewkach?
Podkreślam raz jeszcze: poniższe wskazówki dotyczą absolutnej ostateczności, gdy naprawdę nie masz innej opcji. Jeśli już musisz pływać w soczewkach, zawsze używaj soczewek jednodniowych. Są one jednorazowego użytku i po wyjściu z wody należy je bezzwłocznie wyrzucić do kosza. Nigdy, pod żadnym pozorem, nie próbuj ich czyścić i używać ponownie. To minimalizuje czas ekspozycji oka na zanieczyszczenia i zapobiega przenoszeniu patogenów na inne soczewki czy do pojemnika.
Dodatkowym, niezwykle ważnym elementem ochrony, nawet w przypadku soczewek jednodniowych, są szczelne okulary pływackie. Muszą one być idealnie dopasowane do twarzy, aby woda nie dostawała się pod nie. Okulary te stanowią fizyczną barierę, która chroni soczewki i oczy przed bezpośrednim kontaktem z wodą, zmniejszając ryzyko wypłukania soczewki oraz dostania się pod nią drobnoustrojów. Przy wyborze okularów pływackich zwróć uwagę na ich szczelność i komfort noszenia to klucz do skutecznej ochrony.
Po wyjściu z wody i natychmiastowym wyrzuceniu soczewek jednodniowych, zalecam przepłukanie oczu. Możesz użyć do tego celu sterylnych kropli nawilżających do oczu lub soli fizjologicznej. Pomoże to usunąć wszelkie pozostałe zanieczyszczenia, chlor czy sól, które mogły dostać się do oka. Pamiętaj, aby nie pocierać oczu, a jedynie delikatnie je przepłukać. Obserwuj swoje oczy przez kolejne dni pod kątem wszelkich niepokojących objawów.
Bezpieczne alternatywy: Ciesz się wodą bez ryzyka dla wzroku
Dla mnie, jako eksperta, okulary pływackie z korekcją wady wzroku to absolutny "złoty standard" i najbezpieczniejsze rozwiązanie dla każdego, kto chce cieszyć się wodą bez ryzyka dla oczu. Eliminują one potrzebę noszenia soczewek kontaktowych, a jednocześnie zapewniają doskonałe widzenie pod wodą i nad nią. Są szczelne, chronią oczy przed podrażnieniami i patogenami, a co najważniejsze są w pełni bezpieczne. To inwestycja w komfort i zdrowie, która naprawdę się opłaca.
Okulary pływackie z korekcją są coraz łatwiej dostępne. Możesz je znaleźć w dobrze zaopatrzonych sklepach sportowych, często z możliwością dopasowania mocy soczewek do Twojej wady wzroku, lub w profesjonalnych salonach optycznych, gdzie optometrysta pomoże Ci wybrać idealne rozwiązanie. Przy doborze zwróć uwagę na kilka aspektów: po pierwsze, szczelność muszą idealnie przylegać do twarzy. Po drugie, komfort nie mogą uciskać ani powodować dyskomfortu. Po trzecie, odpowiednia korekcja upewnij się, że moc soczewek odpowiada Twojej recepcie, a jeśli masz różne wady w każdym oku, wybierz model z wymiennymi soczewkami o różnej mocy.Dla osób bardzo aktywnych w sportach wodnych, które chcą całkowicie uniezależnić się od okularów i soczewek, istnieją również długoterminowe rozwiązania. Jednym z nich jest ortokorekcja, czyli niechirurgiczna metoda korekcji wzroku polegająca na noszeniu specjalnych soczewek kontaktowych na noc, które tymczasowo zmieniają kształt rogówki, zapewniając ostre widzenie przez cały dzień. Inną, bardziej trwałą opcją, jest laserowa korekcja wzroku. To zabieg chirurgiczny, który trwale modyfikuje kształt rogówki, eliminując lub znacznie zmniejszając wadę wzroku. Zawsze jednak podkreślam, że decyzję o takich rozwiązaniach należy podjąć po szczegółowej konsultacji z doświadczonym okulistą.
Przeczytaj również: Jak bezpiecznie zdjąć soczewki z długimi paznokciami? Poradnik eksperta
Twoje oczy są bezcenne: Kluczowe zasady bezpieczeństwa nad wodą
Podsumowując, dbanie o zdrowie oczu podczas aktywności wodnych jest niezwykle ważne. Oto kluczowe zasady, które pomogą Ci cieszyć się wodą bez ryzyka:
- Nigdy nie pływaj w soczewkach kontaktowych wielokrotnego użytku (miesięcznych, dwutygodniowych).
- Jeśli to absolutnie konieczne, użyj soczewek jednodniowych i natychmiast je wyrzuć po wyjściu z wody.
- Zawsze łącz soczewki jednodniowe ze szczelnymi okularami pływackimi.
- Po każdym kontakcie oczu z wodą (nawet bez soczewek), przepłucz je sterylnymi kroplami nawilżającymi lub solą fizjologiczną.
- Najbezpieczniejszą alternatywą są okulary pływackie z korekcją wady wzroku.
- Bądź czujny na wszelkie objawy infekcji oka (ból, zaczerwienienie, światłowstręt) i w razie ich wystąpienia natychmiast skonsultuj się z okulistą.
- Rozważ długoterminowe rozwiązania, takie jak ortokorekcja lub laserowa korekcja wzroku, jeśli jesteś bardzo aktywny w sportach wodnych.
Pamiętaj, Twoje oczy są bezcenne. Nie warto ryzykować ich zdrowia dla chwilowej wygody.
